Vickery Village
Stunning Smile Transformations
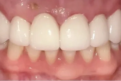
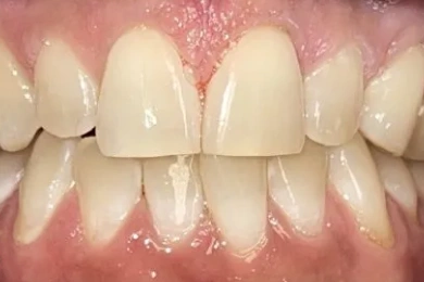
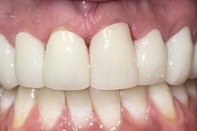
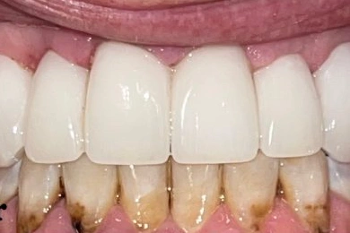
The Smile Gallery displays a few of our before and after photos of actual patients of Cumming Dental Associates. If you would like to change your smile and restore the confidence of laughing out loud or posing for photos, please call us today for a smile consultation.

Before

After

Before

After

Before

After

Before

After

Before

After

Before

After
